Cosmetic Case

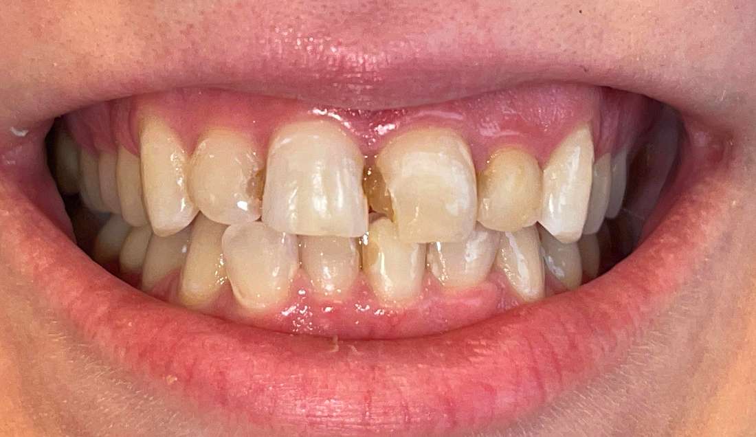
This sweet patient came in with failing composite restorations, and we worked to restore her beautiful and healthy smile.

Related Services:

Cosmetic Dentistry
Getting an appointment is fast and easy!