We invite you to look through our Smile Gallery to see some of the remarkable transformations we have made in the health and appearance of our patients’ smiles!
Gallery Categories





We invite you to look through our Smile Gallery to see some of the remarkable transformations we have made in the health and appearance of our patients’ smiles!
This patient arrived at Deep River Family & Cosmetic Dentistry with an uneven smile. Our gentle and compassionate expert, Dr. Bray, recommended Invisalign and the after-effects of the Invisalign service speak for itself!
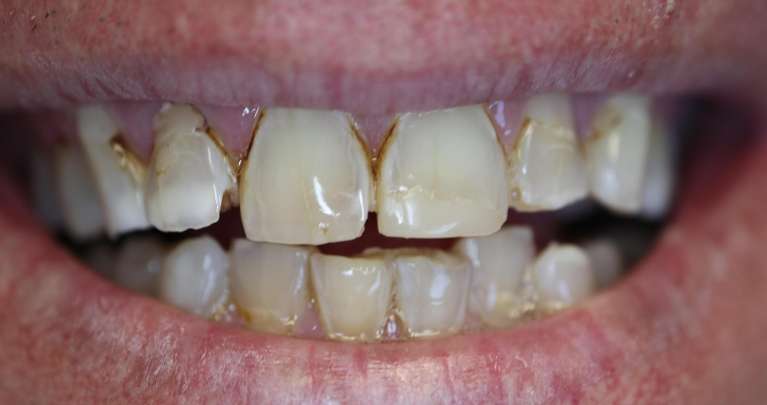
Matt came to Deep River Family & Cosmetic Dentistry looking to improve his overall dental health with a full mouth transformation. After Dr. Bray performed a thorough evaluation, he determined that many teeth were missing, broken, stained, or severely decayed.
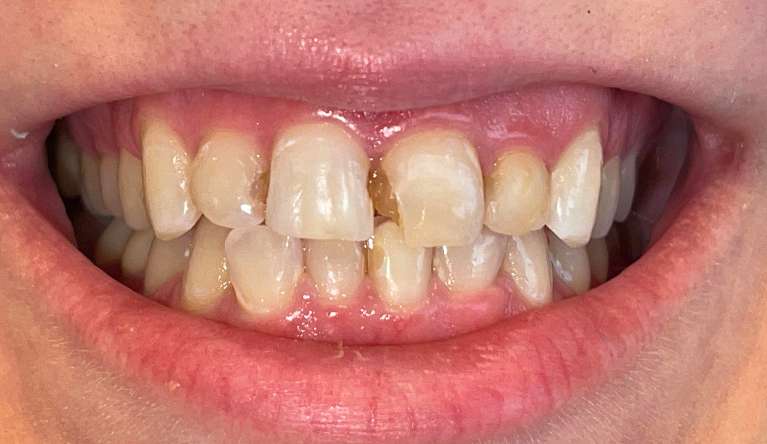
After developing a customized treatment plan, Dr. Bray and his staff were able to save the majority of his teeth with root canals, crowns, bridges, and tooth-colored bonded fillings, all of which were completed in-office.
The patient was overjoyed with the swift treatment, compassion, and care that he received and was eager to display his new smile.
This sweet patient came in with failing composite restorations, and we worked to restore her beautiful and healthy smile.
Jamie decided that he was ready to transform his smile and correct years of grinding and wearing down of his teeth. Dr. Bray worked with his talented lab to carefully determine the shade and shape of these crowns and veneers in order to create this beautiful smile. Not only did this procedure improve the esthetics but the health and longevity of his teeth.